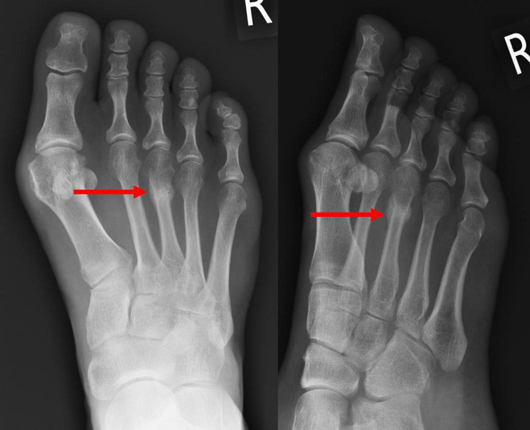
https://adsense.google.com/adsense/u/1/pub-9161951367286286/myads/sites/preview?url=notion6988.tistory.com 🏃‍♂️ 러닝 후 생긴 ‘발등’ 통증… 2주 넘으면 근육통 아닌 ‘이것’