



최근 연구에 따르면, 대상포진 백신이 치매 예방에 효과적일 수 있다는 결과가 나왔습니다. 스탠퍼드 의과대학이 주도한 이 연구는 웨일스의 28만 명 이상의 노인 건강 기록을 분석하여, 대상포진 백신을 접종한 사람들이 그렇지 않은 사람들보다 향후 7년 동안 치매에 걸릴 확률이 20% 낮다는 것을 발견했습니다.
이러한 결과는 대상포진 백신이 신경계에 영향을 미치는 바이러스의 재활성화를 방지하여 신경 염증을 줄임으로써 치매 위험을 낮출 수 있다는 가설을 뒷받침합니다. 또한, 옥스퍼드 대학의 이전 연구에서도 유사한 결과가 나타났으며, 다른 국가에서도 이러한 결과가 재현되었습니다.
그러나 이러한 연구들은 관찰 연구이므로, 백신과 치매 위험 감소 사이의 직접적인 인과 관계를 확립하기 위해서는 추가적인 무작위 대조 시험이 필요합니다. 현재까지의 연구 결과는 고무적이지만, 대상포진 백신이 치매 예방에 효과적이라는 결론을 내리기에는 아직 이릅니다.
따라서, 대상포진 백신 접종을 고려하는 것은 대상포진 예방 측면에서 여전히 중요하지만, 치매 예방을 위한 구체적인 수단으로 간주하기에는 추가적인 연구가 필요합니다.
👉 치매와 신경염증의 관계
치매, 특히 알츠하이머병과 같은 퇴행성 뇌질환은 단순한 뇌세포 손상이 아니라 **신경염증(neuroinflammation)**과 밀접한 관련이 있습니다.
🧠 핵심 요약
- 신경염증은 치매의 원인 중 하나로 작용할 수 있음
- 면역세포의 과도한 활성화가 뇌세포 손상과 연결됨
- 장기적 염증 반응이 인지 기능 저하를 유발할 수 있음
🔬 자세한 설명
1. 미세아교세포(Microglia)의 역할
- 뇌 속 면역세포인 미세아교세포는 외부 자극이나 손상에 반응하여 **염증성 사이토카인(cytokine)**을 분비합니다.
- 이 과정이 일시적이면 회복에 도움을 주지만, 지속되면 오히려 신경세포에 독성이 됨.
2. 아밀로이드-베타와 염증
- 알츠하이머병 환자의 뇌에서는 아밀로이드-베타 단백질이 축적되어 염증 반응을 유발합니다.
- 이로 인해 미세아교세포가 만성적으로 활성화되며, 염증이 계속되면서 뇌세포가 점점 손상됩니다.
3. 장기적 염증의 악순환
- 만성 신경염증은 뇌 기능 저하 → 인지능력 감소 → 치매 증상 심화로 이어지는 악순환을 만듭니다.
💡 우리 생활과의 연결
- **만성 질환(당뇨, 고혈압, 비만)**도 신경염증을 악화시킬 수 있습니다.
- 따라서 식습관 개선, 운동, 수면 관리 등을 통해 전신 염증을 줄이는 것이 중요합니다.
예시
최근 연구에서는 항염증 작용이 있는 일부 식단(지중해식 등)이 치매 위험을 줄이는 데 긍정적인 영향을 미친다는 결과도 있습니다.
👉 치매 예방에 도움이 되는 식습관
치매 예방은 단순히 뇌 훈련만으로 되는 것이 아니라, 음식 섭취 방식과도 깊은 관련이 있습니다. 특히 염증을 줄이고 뇌 건강을 지키는 식습관은 치매 예방에 효과적인 것으로 알려져 있습니다.
🥗 핵심 식습관 5가지
| 지중해식 식단 | 신선한 채소, 과일, 생선, 올리브오일 중심 식단 | 연어 샐러드, 토마토 올리브 파스타 |
| 적절한 항산화 섭취 | 뇌세포 손상을 막는 항산화 성분이 풍부한 음식 섭취 | 블루베리, 호두, 녹차 |
| 가공식품 줄이기 | 염증 유발 가능성이 있는 고지방·고당 식품 제한 | 패스트푸드, 인스턴트 음식 피하기 |
| 오메가-3 섭취 늘리기 | 뇌세포막을 구성하고 염증 억제 역할 | 등푸른 생선(고등어, 참치), 들기름 |
| 소금과 설탕 줄이기 | 혈압 조절 및 당 대사 안정화로 뇌 건강 유지 | 저염식, 무가당 간식 선택 |
✅ 추천 음식 리스트
- 좋은 식품: 연어, 아몬드, 시금치, 블루베리, 올리브오일, 귀리
- 피해야 할 식품: 과도한 붉은 고기, 가공육, 튀김류, 탄산음료, 흰빵
🧠 보너스 팁
- **간헐적 단식(intermittent fasting)**이 신경세포 보호에 도움될 수 있다는 연구도 있습니다.
- 수분 섭취도 뇌 건강에 중요하므로, 하루 1.5~2L 물 마시기 권장합니다.
예시 메뉴 구성 (하루 식단)
- 아침: 귀리죽 + 블루베리 + 호두
- 점심: 현미밥 + 고등어구이 + 채소무침
- 저녁: 두부샐러드 + 올리브오일 드레싱
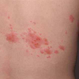
대상포진은 **수두-대상포진 바이러스(Varicella-zoster virus)**에 의해 발생하며, 피부에 특징적인 발진과 수포를 형성합니다. 아래는 대상포진의 일반적인 증상과 관련된 이미지입니다:MSD Manuals+2그레이스 마미+2iStockPhoto.com+2
- 몸통 부위에 띠 모양으로 나타난 발진과 수포
대상포진은 주로 몸통 한쪽에 띠 모양으로 발진과 수포가 발생합니다. - 얼굴 부위에 발생한 대상포진
삼차신경의 분포를 따라 얼굴에 발진이 나타날 수 있으며, 특히 코 끝에 수포가 생기면 안구 침범의 위험이 있으므로 주의가 필요합니다. - 팔이나 다리 등 사지에 발생한 대상포진
드물게 팔이나 다리에도 발진과 수포가 나타날 수 있습니다.
이러한 이미지를 통해 대상포진의 증상을 보다 명확하게 이해하실 수 있습니다. 그러나 정확한 진단과 치료를 위해서는 의료 전문가와 상담하시기 바랍니다.
'건강한생활' 카테고리의 다른 글
| 🔥 똥배 쏙들어가게 하려면? (0) | 2025.04.09 |
|---|---|
| ▷ 간 건강에 좋은 나물 TOP 3 (0) | 2025.04.05 |
| 🍵 생강먹으면 몸에나타나는 7가지변화 (1) | 2025.03.30 |
| 🌿 봄향기따라-약초나물(말랭이나물) (1) | 2025.03.30 |
| 🌿 황소같은 힘이난다고? (짚신나물) (0) | 2025.03.30 |