의학정보
🧬 흉선암, 어떤 암이길래 '이 증상' 위험 신호…생존율과 치료법은
꿈나래-
2026. 1. 20. 06:47
흉선암(Thymic Cancer) —
어떤 암이길래, **‘이 증상’**이 위험 신호일까?



최근 건강 뉴스에서도 흉선암이 주목 받았죠 —
초기 생존율은 높은 편이지만 증상 없이 진행되는 경우가 많아 조기 진단이 중요하다고 합니다.
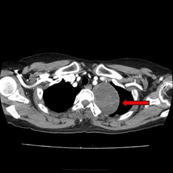
🧬 흉선암이란?
흉선은 가슴 중앙, 심장 위쪽 흉골 뒤에 있는 작은 면역 관련 기관입니다. 성장하면서 기능이 줄어들지만, 성인에서도 호르몬과 면역 세포 교육 역할을 담당합니다.
흉선에서 생기는 암은 크게 두 가지 형태로 나뉩니다:
- 흉선종(thymoma) — 상대적으로 성장 속도가 느리고 예후가 좋은 편
- 흉선암(thymic carcinoma) — 더 공격적이고 전이 가능성이 높은 형태
두 경우 모두 매우 희귀한 암입니다.
🚨 ‘이 증상’… 놓치지 말아야 할 위험 신호
흉선암 초기에는 자각 증상이 없을 때가 많지만, 종양이 커지면서 흉부 주변 구조를 압박해 나타나는 신호가 있습니다:
✔ 1) 가슴 통증
✔ 2) 기침이 오래 지속될 때
✔ 3) 숨이 차거나 호흡 곤란
✔ 4) 목·얼굴·상체 부종
✔ 5) 쉰 목소리
이런 증상이 생기면 전문의 상담이 필요합니다.
또 일부 흉선종은 중증 근무력증(Mechanis gravis) 같은 자가면역 증상과 연관되기도 합니다.
📊 생존율은 얼마나 될까?
흉선암의 생존율은 ‘발견 시기’와 ‘진행 단계’에 따라 크게 달라집니다:
📉 5년 생존율 (국내 의료기관 기준)
- 초기(조기 진단): 약 74~90%
- 3기 진행: 약 33~50%
- 4기 진행: 약 24~40%
➡️ 조기 발견이 생존율을 좌우합니다.
🌍 해외 통계 (미국 SEER 데이터)
- 국소 진행(전이 없음): 약 94%
- 주변 확장: 약 79%
- 원격 전이: 약 42%
※ 수치는 통계적 평균이며, 환자 연령·건강 상태·치료반응에 따라 다릅니다.
🩺 치료법 — 무엇을 어떻게 하나요?
흉선암 치료는 단계와 암 종류에 따라 달라집니다.
🔹 1) 수술
- 가장 중요한 치료법입니다. 종양이 제거될 수 있다면 생존율과 재발률 모두 좋아집니다.
- 최근엔 로봇 수술처럼 흉터와 회복 부담을 줄인 수술도 도입되고 있습니다.
🔹 2) 방사선 치료
- 재발 방지 목적으로 수술 뒤에 시행되기도 하고, 수술이 어렵거나 잔여 종양이 있을 때 활용됩니다.
🔹 3) 화학요법
- 전이되거나 고위험 종양에 대해 시행됩니다.
- 일부 환자는 화학방사선요법을 함께 받기도 합니다.
🔹 4) 표적치료·면역치료
- 특정 분자 표적을 겨냥하는 치료나, 면역항암제 연구가 진행되고 있습니다.
🧠 정리 — 흉선암, 이렇게 기억하세요
✔ 매우 희귀하지만 중요한 암
✔ 대부분 초기에 증상 없어 발견이 늦어질 수 있음
✔ 가슴 통증·기침·호흡 곤란·부종이 지속되면 검사가 필요
✔ **조기 발견 → 생존율 70~90%**까지 기대 가능
✔ 수술이 핵심 치료, 필요시 방사선·항암 병행
반응형
LIST