건강한생활
🧠 매년 늙는 게 아니었어? ‘이 나이’ 되면 뇌 노화 다음 단계로
꿈나래-
2025. 12. 25. 06:41
“해마다 한 살씩, 균등하게 늙는다?”
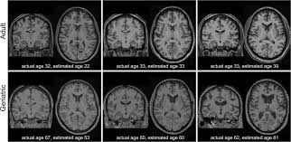
뇌는 그렇게 성실(?)하지 않습니다. 연구들을 종합해 보면 **뇌 노화는 ‘계단식’**으로 진행돼요. 즉, 특정 나이에서 다음 단계로 훌쩍 넘어갑니다.



🧠 뇌 노화의 분기점, 바로 이 나이들
- 40대 중반: 처리 속도·집중력이 서서히 둔해지기 시작
→ “아, 내가 왜 방에 들어왔더라…”가 늘어나는 구간 - 50대 초반: 기억력·멀티태스킹 저하가 체감
→ 이름·단어가 혀끝에서 맴도는 현상 빈번 - 60대 이후: 백질(신경 신호 통로) 변화 가속
→ 학습 속도는 느려져도 경험 기반 판단력은 오히려 강화
왜 ‘계단식’일까?
호르몬 변화, 혈관 탄력 저하, 염증 누적 등이 특정 시점에 겹쳐 나타나면서
뇌의 네트워크 효율이 단계적으로 떨어지기 때문입니다. 매년 1%씩 빠지는 게 아니라, 어느 해에 ‘턱’ 하고 내려가는 느낌이죠.
늦출 수 있을까? (힌트: 충분히!)
- 유산소 운동: 뇌 혈류↑, 기억력 보호
- 수면 7시간 내외: 노폐물 청소 타임
- 단백질·오메가3: 신경세포 재료 보충
- 새로운 학습: 악기·외국어·퍼즐은 뇌의 헬스장
- 사회적 교류: 대화는 최고의 인지훈련
한 줄 요약
뇌는 매년 늙지 않는다. ‘이 나이’에서 단계가 바뀐다.
대신, 관리하면 계단을 낮게 만들 수 있다.
(뇌야, 엘리베이터 말고 에스컬레이터로 가자 😄)
반응형
LIST