건강한생활
🧀 “피자 먹다가, 가슴 아파” 식도에 ‘이것’ 잔뜩 남아 있었다… 사진 보니?
꿈나래-
2025. 11. 18. 07:00
“피자 먹다가 가슴 아파”
그리고 식도에 ‘이것’이 잔뜩 남아 있었다 —
정답은 바로 **‘치즈 뭉침(식도 잔류)’**입니다.

🧀 왜 피자 먹다가 이런 일이 생길까?
피자의 치즈는 뜨겁고 늘어지는 데다,
식어서 굳기 시작하면 점성이 매우 강해집니다.
이게 문제!
✔ 삼키는 순간 너무 뜨겁거나
✔ 충분히 씹지 않고 덩어리째 넘기거나
✔ 물 없이 먹으면
치즈가 식도에 붙듯이 달라붙어 내려가지 못하고
한동안 ‘식도에 잔류’해 가슴 통증, 답답함, 이물감을 유발합니다.
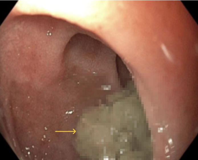
의료진이 내시경으로 본 사진에는
식도 벽에 굳은 치즈가 떡처럼 붙어 있는 모습이 실제로 보이기도 합니다.
🩺 이런 증상 나타날 수 있음
- 가슴 중앙 통증(식도 경련 느낌)
- 삼킬 때 걸리는 느낌
- 역류감
- 식도에 뜨거운 열감
- 심하면 구토·기침 유발
🚨 특히 위험한 사람
- 식도 운동 저하(이완 장애 등)
- 역류성 식도염 환자
- 노년층(삼킴 근육 약화)
- 너무 뜨거운 음식 급하게 먹는 사람
🛡 예방하려면?
1) 치즈·피자 너무 뜨겁거나 너무 굳기 전에 먹기
뜨거워도 화상, 굳으면 잔류 — 애매한 타이밍 금물!
2) 꼭꼭 씹어 작은 조각으로
치즈 길게 늘어진 채 삼키면 식도에 들러붙기 쉽습니다.
3) 물·탄산수 한두 모금과 함께
점성 높은 치즈는 유동성을 높여야 내려가요.
4) 가슴 통증 지속되면 바로 병원
특히 1시간 이상 가슴 중앙 통증 지속되면 내시경 필요할 수 있음.
🌟 한 줄 요약
피자 치즈가 식도에 붙어 ‘가슴 통증’ 유발… 뜨겁거나 늘어진 치즈는 씹어서, 물과 함께 천천히!
반응형
LIST