건강정보
🚨 “아침에 일어나 소변 보니, 검붉은색”… 30대 女, 응급 신호였다
꿈나래-
2026. 1. 7. 16:22



“아침에 일어나 소변 보니, 검붉은색”… 30대 여성에게 나타난 ‘응급 신호’
아침 첫 소변이 검붉은색이었다면?
“피곤해서 그런가”, “전날 음식 때문이겠지” 하고 넘기기 쉽지만, 이건 응급 신호일 수 있습니다.
🚨 검붉은 소변, 왜 위험할까?
눈에 보일 정도로 색이 변했다면 육안적 혈뇨 가능성이 큽니다. 특히 통증이 없더라도 다음 원인을 의심해야 합니다.
- 급성 신장염·사구체신염
- 요로결석(작아도 피는 난다)
- 방광·요관 염증
- 드물게 종양성 질환
👉 핵심은 **“아프지 않아도 위험할 수 있다”**는 점.
⚠️ 30대 여성에서 놓치기 쉬운 이유
- 생리 전후와 혼동
- 방광염 경험이 많아 대수롭지 않게 판단
- 통증 없는 혈뇨 → “괜찮겠지” 착각
하지만 통증 없는 혈뇨가 오히려 더 위험한 경우도 적지 않습니다.
🧪 이런 증상 동반되면 즉시 병원
- 검붉거나 콜라색 소변
- 얼굴·다리 부종
- 소변량 감소
- 고혈압, 두통
- 미열·전신 피로감
하나라도 겹치면 당일 검사가 안전합니다.
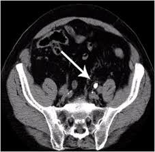
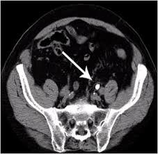
🏥 병원에 가면 무엇을 검사할까?
- 소변검사(적혈구·단백뇨)
- 혈액검사(신장기능)
- 초음파·CT(결석·출혈 원인)
조기에 발견하면 약물치료만으로 회복되는 경우가 많습니다.
📌 한 줄 정리
**검붉은 소변은 ‘색 변화’가 아니라 ‘경고등’**입니다.
아침 소변 색이 평소와 다르다면, 검색창보다 응급실·비뇨기과가 먼저입니다.
몸은 이미 신호를 보냈습니다.
이제 우리가 반응할 차례죠. 🚨
반응형
LIST