건강정보
👁️ “갑작스러운 시야 변화” 조용히 실명 부르는 ‘이 질환’… 정체는?
꿈나래-
2026. 2. 20. 06:33



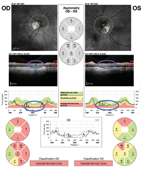
갑자기 시야가 흐려지거나, 옆이 잘 안 보이는 느낌이 든다면 녹내장을 의심해야 합니다.
녹내장은 통증 없이 서서히 진행되지만, 한 번 손상된 시신경은 회복이 어려워 실명의 주요 원인으로 꼽힙니다.
녹내장이 위험한 이유
- 안압 상승 또는 시신경 혈류 이상으로 시신경 손상
- 초기에는 증상이 거의 없음
- 진행되면 주변 시야부터 좁아지는 ‘터널 시야’ 발생
- 말기에는 중심 시력까지 손상
이런 증상이 있다면 주의
- 주변이 흐릿하거나 잘 보이지 않는다
- 계단 내려갈 때 발 디딜 곳이 불안하다
- 한쪽 눈으로 보면 시야가 좁은 느낌
- 밤에 시야가 더 어둡게 느껴진다
※ 특히 40세 이상, 가족력, 고혈압·당뇨 환자는 정기 검진이 중요합니다.
치료 방법 (핵심은 진행 억제)
1. 안약 치료 (기본 치료)
- 안압을 낮춰 시신경 손상 진행을 늦춤
2. 레이저 치료
- 방수 배출을 도와 안압 조절
3. 수술
- 약물·레이저로 조절이 안 될 경우 시행
※ 이미 손상된 시력은 회복이 어렵기 때문에 조기 발견이 가장 중요합니다.
생활 속 관리법
- 정기적인 안과 검사 (40세 이후 연 1회)
- 스테로이드 약물 장기 사용 주의
- 과도한 음주·흡연 피하기
- 고혈압·당뇨 관리 철저
한 줄 정리
녹내장은 아프지 않지만 조용히 시야를 훔쳐가는 질환입니다.
시야가 달라졌다고 느끼는 순간, 검진이 가장 빠른 치료입니다.
반응형
LIST