◑ “장난으로 먹었는데” 28세男 사망…
“장난으로 먹었는데” 28세男 사망…전신마비 일으킨 민달팽이, 왜?



안녕하세요, 상상드림입니다.
오늘은 블로그를 위한 경각심 있는 이야기로 “장난으로 먹었는데 …”라는 제목처럼 시작된 아주 안타까운 사건에 대해 다뤄보겠습니다. 가볍게 넘겨선 안 될, 야생 생물과 인간의 접점에서 벌어진 기생충 감염 관련 이야기입니다.
사건 개요
호주 시드니에서 한 20대 남성, Sam Ballard(이하 “샘”)은 친구들과 술자리를 갖던 중 ‘야생 민달팽이(혹은 유사한 달팽이) 한 마리를 먹어볼까?’라는 농담성 제안을 받아들이며 이야기처럼 시작됐습니다. ScienceAlert+2News.com.au+2
이후 샘은 다리 통증, 구토, 어지러움 등의 증세를 보였고, 진단 결과 기생충인 Angiostrongylus cantonensis(일명 ‘쥐 폐기생충’ 또는 rat lungworm) 감염으로 수막뇌염(뇌·척수를 둘러싼 막의 염증)을 일으켰으며, 결국 혼수상태 및 전신 마비 상태에 빠졌고, 2018년 향년 28~29세로 사망했습니다. TIME+1
“장난일 뿐”이라고 생각했던 순간이 인생을 송두리째 바꿔버린 케이스입니다.
왜 이런 일이 벌어졌나? — 기생충 감염 경로
1. 쥐 → 달팽이/민달팽이 숙주
이 기생충은 원래 설치류(쥐)가 숙주이며, 쥐의 폐혈관에서 성체 기생충이 번식하고 알 혹은 유충이 쥐 배설물 등을 통해 환경으로 나옵니다. 위키백과+1
그 다음 달팽이나 민달팽이 등이 그 유충을 먹거나 흡수하면서 중간 숙주 역할을 하게 됩니다. 위키백과
즉, 야생의 민달팽이가 이미 기생충에 감염된 상태였을 가능성이 있는 것입니다.
2. 사람 감염 경로
사람이 이 달팽이나 민달팽이를 날로 먹거나 제대로 익히지 않은 상태로 섭취하거나, 달팽이의 분비물이나 배설물로 오염된 채소 등을 섭취함으로써 유충이 사람 체내에 들어갈 수 있습니다. ScienceAlert+1
이 후 유충은 사람에서는 주로 뇌 또는 척수로 침투할 수 있고, 그로 인해 뇌수막염(수막 및 뇌 실질의 염증) 또는 신경계 이상을 일으킬 수 있습니다. 위키백과+1
3. 본건의 특징
샘의 경우 “민달팽이를 장난으로 먹었다”는 행위가 감염의 직접적 도구가 되었고, 이후 병세가 급격히 악화된 점이 특징입니다.
“People can get infected by eating raw or under-cooked snails or slugs that are infected with this parasite.” ScienceAlert+1
주요 증상 및 경과
- 감염 후 1~3주 정도 지난 뒤 증상이 나타나는 경우가 많습니다. ScienceAlert
- 초기 증상으로는 두통, 목 뻣뻣함, 구토, 어지러움 등이 보고됩니다. 위키백과
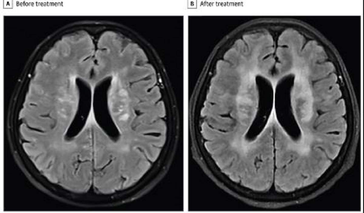
- 심할 경우 수막뇌염(eosinophilic meningitis/meningo-encephalitis) 형태로 진행되며, 뇌 및 척수 손상, 마비, 의식 저하 등이 나타날 수 있습니다. Newsweek+1
- 샘의 경우에는 약 420일간 혼수상태였으며, 회복 이후에도 전신 마비 상태가 남았습니다. TIME
왜 ‘장난’이 이렇게 위험했나?
- 우리는 흔히 “야생 생물 한 마리쯤이야”라고 가볍게 여길 수 있지만, 특히 미지의 생물 혹은 야생 상태의 달팽이는 기생충이나 병원체의 숙주가 될 수 있다는 사실이 가장 큰 위험요소입니다.
- 기생충 감염은 치료가 쉬운 사례도 많지만, 중증으로 발전했을 때는 신경계에 영구 손상을 남기거나 사망에 이를 수 있다는 점에서 경각심이 필요합니다.
- 특히 알코올이 섞인 술자리, 농담 또는 내기 등의 맥락에서 이뤄진 행위는 위험을 인식하기 어렵고, “재미 삼아”가 큰 대가로 돌아올 수 있습니다.
우리나라 및 국내 적용 가능성
- 국내에서도 기생충 감염과 관련한 문헌이 존재하며, 예컨대 다이어트식으로 날달팽이나 달팽이류를 섭취했다가 사망한 예가 보고된 바 있습니다. ICDC Incheon+1
- 우리나라 야생 달팽이나 민달팽이도 무해하다고 단정하기 어렵고, 특히 채취·섭취 전 조사가 충분치 않은 상태에서는 ‘기생충 리스크’가 존재합니다.
- 따라서 야생 달팽이·민달팽이를 먹는 행위, 혹은 달팽이가 접근할 수 있는 식재료(채소 등)를 제대로 세척하지 않는 행위는 예방해야 합니다.
예방수칙 (블로그 팁형식으로)
- 야외에서 미지의 달팽이나 민달팽이를 먹지 않는다. 농담이나 내기라도 ‘생물섭취’는 경계해야 합니다.
- 채소·과일은 낙엽·토사·달팽이 배설물 등에 노출될 수 있으므로 흐르는 물로 충분히 세척, 가능하면 껍질을 제거하고 조리한다.
- 애완동물(특히 강아지)이나 어린이의 경우 야외에서 달팽이·민달팽이를 놀이·섭취하지 않도록 주의한다. 습기가 많은 날씨엔 달팽이 활동이 많아집니다.
- 이상 증상(두통, 구토, 목 뻣뻣함, 사지저림 등)이 생기면 신속히 의료기관에 진료를 받아야 합니다. 특히 야생 달팽이나 민달팽이와의 접촉 후라면 의심해볼 만 합니다.
마무리하며…
장난으로 한 번이지만, 그 결과는 삶 전체를 바꿔버렸습니다. 이 사건은 단순히 외국의 ‘이상 사례’로만 치부하면 안 됩니다. 우리 일상 속에 침잠해 있는 자연과 생물 간 접점, 그 사이에 숨어 있는 기생충 리스크에 대해 다시 한 번 생각하게 됩니다.